海馬硬化を伴う内側側頭葉てんかん(MTLE-HS)

脳神経 神経 指定難病  クッシング病 下垂体性ADH分泌異常症 下垂体性TSH分泌亢進症 下垂体性PRL分泌亢進症 下垂体前葉機能低下症 網膜色素変性症 マリネスコ・シェーグレン症候群 神経軸索スフェロイド形成を伴う遺伝性びまん性白質脳症 脊髄空洞症 脊髄髄膜瘤 遺伝性ジストニア 神経フェリチン症 脳表ヘモジデリン沈着症 禿頭と変形性脊椎症を伴う常染色体劣性白質脳症 皮質下梗塞と白質脳症を伴う常染色体優性脳動脈症 皮質下梗塞と白質脳症を伴う常染色体優性脳動脈症  皮質下梗塞と白質脳症を伴う常染色体優性脳動脈症 神経細胞移動異常症 神経軸索スフェロイド形成を伴う遺伝性びまん性白質脳症 HDLS 前頭側頭葉変性症 ビッカースタッフ脳幹脳炎 BBE 痙攣重積型(二相性)急性脳症(AESD) 片側巨脳症 先天性大脳白質形成不全症 ドラベ症候群 海馬硬化を伴う内側側頭葉てんかん ミオクロニー欠神てんかん ミオクロニー脱力発作を伴うてんかん レノックス・ガストー症候群 ウエスト症候群 片側痙攣・片麻痺・てんかん症候群 HHE症候群 ラスムッセン脳炎 徐波睡眠期持続性棘徐波を示すてんかん性脳症 ランドウ・クレフナー症候群 ジュベール症候群関連疾患 JSRD 指定難病
クッシング病 下垂体性ADH分泌異常症 網膜色素変性症 脊髄空洞症 下垂体前葉機能低下症 下垂体性PRL分泌亢進症 下垂体性TSH分泌亢進症 マリネスコ・シェーグレン症候群 神経軸索スフェロイド形成を伴う遺伝性びまん性白質脳症 脊髄空洞症 脊髄髄膜瘤 遺伝性ジストニア 神経フェリチン症 脳表ヘモジデリン沈着症 禿頭と変形性脊椎症を伴う常染色体劣性白質脳症 皮質下梗塞と白質脳症を伴う常染色体優性脳動脈症 皮質下梗塞と白質脳症を伴う常染色体優性脳動脈症 神経細胞移動異常症 神経軸索スフェロイド形成を伴う遺伝性びまん性白質脳症 HDLS 前頭側頭葉変性症 ビッカースタッフ脳幹脳炎 BBE 痙攣重積型(二相性)急性脳症(AESD) 先天性大脳白質形成不全症 ドラベ症候群 海馬硬化を伴う内側側頭葉てんかん  ミオクロニー欠神てんかん ミオクロニー脱力発作を伴うてんかん レノックス・ガストー症候群 ウエスト症候群 片側痙攣・片麻痺・てんかん症候群 HHE症候群 ラスムッセン脳炎 徐波睡眠期持続性棘徐波を示すてんかん性脳症 ランドウ・クレフナー症候群

目次

<海馬硬化を伴う内側側頭葉てんかん>はどんな病気?

<海馬硬化を伴う内側側頭葉てんかん>MTLE-HS)は、脳の内側側頭葉、とくに海馬に硬化(萎縮・瘢痕化)が生じることで起こる、代表的な局在関連てんかんです。
成人てんかんの中で最も頻度が高いタイプの一つで、発作が薬に効きにくい(薬剤抵抗性)ことが少なくありません。

  1. 病態の要点
  2. 主な原因・背景
  3. 発作の特徴(とても重要)
    1. よくみられる発作症状
  4. 診断のポイント
    1. 1️⃣ MRI(非常に重要)
    2. 2️⃣ 脳波検査
    3. 3️⃣ 病歴
  5. 治療の基本方針
    1. 薬物療法
    2. 外科治療(重要な選択肢)
  6. 記憶・認知機能への影響
  7. まとめ
  8. 全体像を一言で言うと
  9. 📊 てんかん全体の中での割合
    1. ■ てんかん患者全体の中で
  10. 📉 薬剤抵抗性てんかんの中では?
  11. 🌍 一般人口あたりでは?
  12. 🇯🇵 日本ではどのくらい?
  13. なぜ「多い」のに目立ちにくいのか
  14. まとめ
  15. <海馬硬化を伴う内側側頭葉てんかん>の原因は?
  16. 原因を一言でまとめると
  17. ① 最も重要な原因:乳幼児期の長引く発作
    1. ● 熱性けいれん重積
  18. ② てんかん重積状態(非熱性)
  19. ③ 脳炎・感染症
  20. ④ 低酸素・虚血
  21. ⑤ 頭部外傷
  22. ⑥ 原因不明(特発例)も少なくない
  23. ⑦ なぜ「海馬」だけが硬化しやすいのか
  24. ⑧ 遺伝は原因か?
  25. まとめ
  26. 基本的な考え方
  27. なぜ「遺伝しない」と言われるのか
    1. ① 原因の多くが後天的
  28. ② 家族内発症はまれ
  29. ただし例外的に考えられている点
    1. 🔹 遺伝的「素因」が関与する可能性
  30. 特殊なケース(まれ)
    1. 家族性側頭葉てんかんとの違い
  31. お子さんや家族に遺伝する可能性は?
  32. まとめ
  33. <海馬硬化を伴う内側側頭葉てんかん>の経過は?
  34. ① 発症前(前駆・潜伏期)
    1. 背景として多い出来事
  35. ② 発症期(思春期〜成人初期が多い)
    1. 発作が出現
  36. ③ 慢性期(治療下でも続く時期)
    1. 薬物治療の経過
    2. この時期の特徴
  37. ④ 外科治療を行わない場合の長期経過
  38. ⑤ 外科治療後の経過(重要)
    1. 手術適応がある場合
    2. 術後経過
    3. 注意点
  39. ⑥ 年齢を重ねたあとの経過
  40. 経過を左右する要因
  41. まとめ
  42. <海馬硬化を伴う内側側頭葉てんかん>の治療法は?
  43. ① 抗てんかん薬による治療(第一段階)
    1. 目的
    2. よく用いられる薬剤
    3. 薬物治療の限界
  44. ② 外科治療(非常に重要)
    1. 外科治療が強く勧められる理由
    2. 主な手術方法
      1. 1️⃣ 内側側頭葉切除術(ATL)
      2. 2️⃣ 選択的海馬扁桃体切除術(SAH)
    3. 手術成績
    4. 手術前に必須の評価
  45. ③ 低侵襲治療(近年の選択肢)
    1. レーザー焼灼術(LITT)
  46. ④ 外科が難しい場合の補助療法
    1. 神経刺激療法
  47. ⑤ 治療のタイミングが非常に重要
  48. まとめ
  49. <海馬硬化を伴う内側側頭葉てんかん>の日常生活の注意点は?
  50. ① 発作を起こしにくくする生活管理
    1. ● 睡眠の確保(最重要)
    2. ● ストレス管理
    3. ● 飲酒・嗜好品
  51. ② 発作時の安全対策
    1. ● 転倒・事故の予防
    2. ● 外出時の備え
  52. ③ 服薬管理(極めて重要)
  53. ④ 記憶・認知面への配慮(この病気特有の注意点)
  54. ⑤ 精神・心理面への配慮
  55. ⑥ 仕事・学校・運転について
    1. ● 就労・学業
    2. ● 自動車運転
  56. ⑦ 外科治療を受けた後の日常生活
  57. まとめ(重要ポイント)

病態の要点

  • 海馬は記憶や情動に関わる重要な部位です
  • 何らかの原因で海馬の神経細胞が脱落・変性し(=海馬硬化)、
  • その結果、発作を起こしやすい異常な神経回路が形成されます

主な原因・背景

はっきりした原因が特定できないことも多いですが、次のような背景が知られています。

  • 乳幼児期の長引く熱性けいれん
  • てんかん重積状態
  • 低酸素・虚血
  • 脳炎・髄膜炎
  • 頭部外傷

これらを契機に、年単位の時間をかけて海馬硬化が進み、思春期〜成人期に発症するケースが典型的です。


発作の特徴(とても重要)

よくみられる発作症状

  • 前兆(アウラ)
    • 胃からこみ上げる感じ
    • 強い既視感・未視感
    • 急な恐怖感、不安感、においの錯覚
  • 意識障害を伴う自動症
    • 口をもぐもぐする
    • 手を無意識に動かす
    • ぼんやりして反応が鈍くなる
  • 発作後の
    • 強い眠気
    • 記憶が抜け落ちる感じ

※ 全身けいれんに移行することもあります。


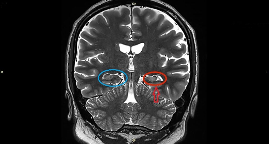
診断のポイント

1️⃣ MRI(非常に重要)

  • 海馬の萎縮
  • T2/FLAIRでの高信号
    → 海馬硬化の典型所見

2️⃣ 脳波検査

  • 側頭葉由来のてんかん波

3️⃣ 病歴

  • 小児期の熱性けいれん歴などが参考になります

治療の基本方針

薬物療法

  • 抗てんかん薬がまず試されます
  • しかし 薬剤抵抗性 になる例が多いのが特徴です

外科治療(重要な選択肢)

  • 薬で十分に抑えられない場合、
    内側側頭葉切除術選択的海馬切除術が検討されます
  • 適切に選ばれた症例では
    👉 60〜80%以上で発作消失または大幅改善
    が報告されています

記憶・認知機能への影響

  • 海馬は記憶中枢のため
    • 病変側の記憶障害
    • 手術後の記憶変化
      が問題になることがあります
  • そのため、手術前には
    詳細な神経心理検査・言語優位半球の評価が必須です

まとめ

  • <海馬硬化を伴う内側側頭葉てんかん>は
    最も代表的な焦点性てんかん
  • 海馬の硬化が原因で
    **特徴的な部分発作(自動症・前兆)**を起こす
  • 薬が効きにくいことが多い
  • 条件が合えば
    外科治療で根治に近い改善が期待できる

<海馬硬化を伴う内側側頭葉てんかん>の人はどれくらい?

<海馬硬化を伴う内側側頭葉てんかん>(MTLE-HS)は、てんかんの中では比較的頻度の高いタイプとして知られています。2025年時点までの疫学研究・総説論文をもとに、規模感を整理いたします。


全体像を一言で言うと

👉 「てんかん患者さんの中ではかなり多い」
👉 「難治性てんかんの中では最も代表的」
という位置づけです。


📊 てんかん全体の中での割合

■ てんかん患者全体の中で

  • 内側側頭葉てんかん(MTLE)は
    全てのてんかん患者の約20〜30%
  • そのうち
    約60〜70%が海馬硬化を伴うタイプ(MTLE-HS)
    と報告されています

▶ つまり
てんかん全体の約15〜20%前後
<海馬硬化を伴う内側側頭葉てんかん> に相当します


📉 薬剤抵抗性てんかんの中では?

ここが非常に重要なポイントです。

  • 薬が効きにくい「薬剤抵抗性てんかん」患者の中では
    約30〜40%
    MTLE-HS が占めるとされています

👉 外科治療の候補になる患者さんの中で、最も多い原因疾患
と考えられています。


🌍 一般人口あたりでは?

一般人口を基準にした推定では:

  • てんかん全体の有病率:
    約0.5〜1%
  • その約15〜20%が MTLE-HS とすると、

👉 人口10万人あたり 約75〜200人前後
👉 人口1万人あたり 約7〜20人程度

と推定されます。

※ 地域・診断体制・年齢構成によって幅があります。


🇯🇵 日本ではどのくらい?

日本の人口規模(約1億2,000万人)から推定すると:

  • 日本のてんかん患者数:約 100万人前後
  • その 15〜20% が MTLE-HS と仮定すると、

👉 約15万〜20万人程度
<海馬硬化を伴う内側側頭葉てんかん> を有している可能性があります。

※ 実際には

  • 未診断例
  • 他の側頭葉てんかんとして扱われている例
    も含まれるため、正確な人数は把握困難です。

なぜ「多い」のに目立ちにくいのか

  • 発作が
    • ぼんやりする
    • 自動的な動作だけ
      に見えることがあり、見逃されやすい
  • 小児期の熱性けいれんから
    何年も経って成人してから発症する例が多い
  • 「記憶障害」「精神症状」と誤解されることがある

そのため、実際の患者数は推定より多い可能性も指摘されています。


まとめ

  • <海馬硬化を伴う内側側頭葉てんかん>は
    • てんかん全体の 約15〜20%
    • 薬剤抵抗性てんかんの 約30〜40%
  • 日本では
    十数万人規模 と推定される
  • 外科治療で改善が期待できる患者さんが多い、極めて重要な疾患

<海馬硬化を伴う内側側頭葉てんかん>の原因は?

<海馬硬化を伴う内側側頭葉てんかん>の原因は?

**<海馬硬化を伴う内側側頭葉てんかん(MTLE-HS)>**は、
単一の原因で起こる病気ではなく
👉 「脳への強い負荷(発作・炎症・低酸素など)」+「時間をかけた変化」
によって、海馬硬化が形成され、発症すると考えられています。


原因を一言でまとめると

幼少期などの脳へのダメージをきっかけに、長い年月をかけて海馬が変性(硬化)し、発作を起こしやすい回路が固定化される

というのが、現在最も支持されている考え方です。


① 最も重要な原因:乳幼児期の長引く発作

● 熱性けいれん重積

  • 乳幼児期の長時間の熱性けいれん(特に30分以上)
  • MTLE-HS患者さんの30〜60%前後で既往があると報告されています
  • 発作による
    • 神経細胞障害
    • 炎症反応
      が海馬に集中して起こりやすい

👉 最もよく知られた原因因子です。


② てんかん重積状態(非熱性)

  • 乳幼児期・小児期・成人期を問わず
    発作が止まらない状態(てんかん重積)
  • 特に側頭葉発作が長引いた場合、
    海馬が選択的に障害されやすいことが知られています。

③ 脳炎・感染症

  • ウイルス性脳炎(特に単純ヘルペス脳炎)
  • 髄膜炎
  • 炎症が
    • 海馬
    • 扁桃体
      に及ぶことで、直接的な神経細胞脱落が起こります。

👉 発症時は急性脳炎でも、
数年後にMTLE-HSとして顕在化することがあります。


④ 低酸素・虚血

  • 出生時仮死
  • 心停止・重症呼吸障害
  • 重篤な循環不全

海馬は酸素不足に極めて弱い部位のため、
短時間でも障害を受けやすいとされています。


⑤ 頭部外傷

  • 重症頭部外傷
  • 側頭葉を直接損傷した外傷

ただし、頻度としては上記原因より低めです。


⑥ 原因不明(特発例)も少なくない

  • 明確な既往がまったく見つからない方もいます
  • その場合は、
    • 軽微な発作
    • 気づかれなかった炎症
    • 個人差(脆弱性)
      が関与した可能性が考えられます

👉 「原因が特定できない=珍しい」わけではありません。


⑦ なぜ「海馬」だけが硬化しやすいのか

海馬には以下の特徴があります。

  • 興奮性神経が多い
  • 発作時に電気的ストレスが集中しやすい
  • 低酸素・炎症に弱い
  • 可塑性(変化しやすさ)が高い

そのため、
👉 発作や炎症が繰り返されると、選択的に障害されやすい
と考えられています。


⑧ 遺伝は原因か?

  • 基本的に遺伝性疾患ではありません
  • 単一遺伝子異常が原因になることはほぼありません
  • ただし、
    • 発作を起こしやすい体質
    • 熱性けいれんを起こしやすい体質
      などの**「なりやすさ」**に、遺伝要因が関与する可能性は示唆されています

まとめ

  • MTLE-HSの原因は
    後天的な脳へのダメージが中心
  • 特に重要なのは
    • 乳幼児期の長引く熱性けいれん
    • てんかん重積
    • 脳炎
  • 海馬は発作や低酸素に弱く、
    時間をかけて硬化が形成される
  • 遺伝病ではないが、
    個人差(脆弱性)が関与する可能性はある

<海馬硬化を伴う内側側頭葉てんかん>は遺伝する?

👉 原則として「遺伝する病気ではありません」
👉 ただし、ごく一部で「遺伝的ななりやすさ(素因)」が関与する可能性はあります。


基本的な考え方

**<海馬硬化を伴う内側側頭葉てんかん>(MTLE-HS)**は、

  • 海馬の神経細胞脱落・瘢痕化(海馬硬化)
  • それに伴う異常な神経回路形成

によって起こる 「後天性要素が強い焦点性てんかん」 と考えられています。

そのため、

  • 単一の遺伝子異常が直接原因になる病気ではありません
  • 多くの患者さんで 家族歴はありません

なぜ「遺伝しない」と言われるのか

① 原因の多くが後天的

MTLE-HS の背景には、次のような 後天的イベント が関与することが多いです。

  • 乳幼児期の 長引く熱性けいれん
  • てんかん重積状態
  • 脳炎・髄膜炎
  • 低酸素・虚血
  • 頭部外傷

これらがきっかけとなり、
何年もかけて海馬硬化が形成され、思春期〜成人期に発症します。

👉 したがって
「生まれつき決まっている病気」ではありません。


② 家族内発症はまれ

  • 一般的な MTLE-HS では
    家族内に同じ病気の方がいることはまれ
  • 一卵性双生児でも
    片方のみ発症する例が多く報告されています

これも、遺伝単独では説明できないことを示しています。


ただし例外的に考えられている点

🔹 遺伝的「素因」が関与する可能性

近年の研究では、

  • 発作を起こしやすい体質
  • 神経の興奮性の個人差
  • 熱性けいれんを起こしやすい体質

などに、複数の遺伝因子が関与する可能性が示唆されています。

これは
👉 「遺伝する病気」ではなく
👉 「遺伝的になりやすい体質が、環境因子と組み合わさって発症する」
という位置づけです。


特殊なケース(まれ)

家族性側頭葉てんかんとの違い

  • 「家族性内側側頭葉てんかん」という疾患群がありますが、
    • 海馬硬化を伴わないことが多い
    • 臨床像・経過が異なる
  • MTLE-HS とは別の疾患概念です

お子さんや家族に遺伝する可能性は?

  • 一般的な MTLE-HS の場合
    👉 お子さんに同じ病気が起こる確率は
    一般人口とほぼ同等(極めて低い) と考えられています
  • 特別な遺伝カウンセリングが必要になるケースは 通常ありません

まとめ

  • <海馬硬化を伴う内側側頭葉てんかん>は
    基本的に遺伝する病気ではない
  • 多くは
    後天的要因+個人差 により発症
  • ごく一部で
    遺伝的な「なりやすさ」が関与する可能性はあるが、
    親から子へ直接伝わる病気ではない
  • 家族への再発リスクは
    非常に低い

<海馬硬化を伴う内側側頭葉てんかん>の経過は?

<海馬硬化を伴う内側側頭葉てんかん>の経過は?

<海馬硬化を伴う内側側頭葉てんかん(MTLE-HS)>は、
ゆっくりとした長期経過をとることが多い焦点性てんかんで、
発症までの「前段階」→「発症後の慢性期」→「治療介入後」という段階的な経過
を示すのが特徴です。


① 発症前(前駆・潜伏期)

背景として多い出来事

  • 乳幼児期の長引く熱性けいれん
  • てんかん重積状態
  • 脳炎・髄膜炎
  • 低酸素・虚血
  • 頭部外傷

これらを契機に、時間をかけて
海馬硬化(海馬の神経細胞脱落・萎縮)
が進行すると考えられています。

👉 この時期は症状がまったく出ないことも多く
数年〜10年以上の無症候期間が存在することがあります。


② 発症期(思春期〜成人初期が多い)

発作が出現

  • 胃部不快感、恐怖感、既視感などの前兆(アウラ)
  • 意識がぼんやりする
  • 口をもぐもぐする、手を動かすなどの自動症
  • 発作後の強い眠気・記憶の抜け

が繰り返し起こるようになります。

この時点で診断される方が多いです。


③ 慢性期(治療下でも続く時期)

薬物治療の経過

  • 抗てんかん薬で
    • 発作が減る方
    • 一時的に止まる方
      もいますが、
  • 約30〜50%は薬剤抵抗性となり、
    発作が持続・再燃します

この時期の特徴

  • 発作が年単位で持続
  • 発作頻度は
    • 多いまま安定
    • ゆっくり増える
    • 波を打ちながら続く
      など個人差が大きい
  • 病側の記憶障害
    不安・抑うつなどの精神症状を伴うことがあります

👉 自然に治癒することはまれです。


④ 外科治療を行わない場合の長期経過

  • 発作は
    数十年にわたり持続することがあります
  • 発作による
    • 生活の制限
    • 就労・学業への影響
    • 転倒・事故リスク
      が問題になります
  • 海馬硬化そのものが
    急激に悪化することは少ないですが、
    発作は慢性的に残存しやすいです

⑤ 外科治療後の経過(重要)

手術適応がある場合

  • 内側側頭葉切除術
  • 選択的海馬扁桃体切除術

術後経過

  • 60〜80%以上
    • 発作消失
    • または著明改善
  • 効果は長期(10年以上)持続する例が多い
  • 術後早期に発作が消失した場合、
    予後は非常に良好

注意点

  • 病側が言語・記憶優位半球の場合、
    記憶機能の変化が問題になることがあり、
    術前評価が極めて重要です

⑥ 年齢を重ねたあとの経過

  • 発作が続く方では
    • 加齢とともに転倒・誤嚥リスクが上昇
  • 手術で発作が止まった方は
    • 社会復帰・就労が可能になる例も多い
  • 生命予後自体は
    一般人口と大きく変わらないとされています
    (ただし発作事故には注意が必要)

経過を左右する要因

  • 発症年齢
  • 発作頻度・重積の有無
  • 薬剤抵抗性かどうか
  • 外科治療を適切な時期に受けられたか
  • 病変側(優位半球かどうか)

まとめ

  • MTLE-HS は
    ゆっくり発症し、慢性化しやすい
  • 自然寛解はまれ
  • 薬が効かない場合でも
    外科治療で大きく改善できる可能性が高い
  • 早期に専門施設で評価されることが
    長期予後を大きく左右する

<海馬硬化を伴う内側側頭葉てんかん>の治療法は?

<海馬硬化を伴う内側側頭葉てんかん>の治療法は?

<海馬硬化を伴う内側側頭葉てんかん(MTLE-HS)>の治療は、
① 抗てんかん薬による内科治療を基本とし、
② 薬で十分に抑えられない場合は外科治療を積極的に検討する、
という二段構え
が国際的な標準です。

この疾患は「外科治療で根治(発作消失)を目指せる代表的てんかん」である点が最大の特徴です。


① 抗てんかん薬による治療(第一段階)

目的

  • 発作頻度・重症度を下げる
  • 日常生活の安全性を確保する

よく用いられる薬剤

  • カルバマゼピン
  • ラモトリギン
  • レベチラセタム
  • ラコサミド

※ 患者さんの年齢、併存症、妊娠希望などを考慮して選択されます。

薬物治療の限界

  • **約30〜50%**の方は
    👉 薬剤抵抗性てんかん(2剤以上を適切に使っても発作が止まらない)
    になります。
  • この時点で、治療の主軸は外科治療へ移行します。

② 外科治療(非常に重要)

外科治療が強く勧められる理由

  • 海馬硬化は構造的な病変
  • 発作焦点が比較的限局
  • 手術成績が極めて良好

主な手術方法

1️⃣ 内側側頭葉切除術(ATL)

  • 側頭葉内側部(海馬・扁桃体など)を切除
  • 最も長い実績がある方法

2️⃣ 選択的海馬扁桃体切除術(SAH)

  • 海馬と扁桃体のみを選択的に切除
  • 側頭葉皮質を温存し、認知機能への影響を抑える目的

手術成績

  • 発作消失:60〜80%以上
  • 効果は10年以上持続する例が多い
  • 発作が消失すると
    • 就労・学業復帰
    • 運転再開(条件付き)
      が可能になることもあります

手術前に必須の評価

  • 長時間ビデオ脳波
  • 高分解能MRI
  • 神経心理検査(記憶・言語)
  • 機能的MRI/Wadaテスト(施設による)

👉 病変側が言語・記憶の優位半球かどうかが、治療選択に直結します。


③ 低侵襲治療(近年の選択肢)

レーザー焼灼術(LITT)

  • MRIガイド下に海馬を焼灼
  • 開頭せずに治療可能
  • 発作抑制効果はやや劣るが
    • 低侵襲
    • 回復が早い
      という利点があります

※ 日本では実施施設が限られます。


④ 外科が難しい場合の補助療法

神経刺激療法

  • 迷走神経刺激療法(VNS)
  • 脳深部刺激療法(DBS)

👉 発作を減らす目的で使用されますが、
根治療法ではありません


⑤ 治療のタイミングが非常に重要

  • 薬が効かない状態を何年も続ける必要はありません
  • 国際ガイドラインでは
    👉 薬剤抵抗性と判断された時点で、早期に外科評価を行う
    ことが推奨されています

遅れるほど

  • 認知機能低下
  • 精神症状
  • 社会的影響
    が蓄積する可能性があります。

まとめ

  • MTLE-HSの治療は
    抗てんかん薬 → 外科治療 が基本
  • 薬が効かない場合、外科治療が最も有効
  • 発作消失率は 60〜80%以上
  • 適切な時期に専門施設で評価することが、
    長期予後を大きく左右します

<海馬硬化を伴う内側側頭葉てんかん>の日常生活の注意点

<海馬硬化を伴う内側側頭葉てんかん>の日常生活の注意点は?

**<海馬硬化を伴う内側側頭葉てんかん(MTLE-HS)>**では、
「発作の予防」「発作時の安全確保」「記憶・精神面への配慮」「長期的な生活設計」
の4つが日常生活の大きな柱になります。

この疾患は命に直結する制限が多い病気ではありませんが、生活の質に影響しやすいため、適切な工夫が重要です。


① 発作を起こしにくくする生活管理

● 睡眠の確保(最重要)

  • 睡眠不足は最大の発作誘因の一つです
  • 毎日できるだけ
    • 同じ時間に寝る
    • 同じ時間に起きる
  • 夜更かし・徹夜・不規則な生活は避ける

👉 発作が安定している方でも、睡眠不足で再発することがあります。


● ストレス管理

  • 強い精神的ストレス・疲労は発作を誘発します
  • 無理な予定を詰め込まない
  • 休憩を「治療の一部」と考えることが大切です

● 飲酒・嗜好品

  • 少量でも発作を誘発する方がいます
  • 飲酒は
    • 原則「控えめ」
    • 発作が不安定な場合は「避ける」
      が望ましいです
  • 市販薬(風邪薬・抗ヒスタミン薬など)は、
    必ず主治医・薬剤師に確認してください

② 発作時の安全対策

● 転倒・事故の予防

  • 発作時に意識が途切れることがあるため、
    • 高所作業
    • 危険な機械操作
    • 一人での入浴・水泳
      には注意が必要です
  • 入浴は
    • 短時間
    • 可能であれば家族が在宅時に行う

● 外出時の備え

  • 医療情報カード(てんかんであること・服薬内容)を携帯
  • スマートフォンの緊急連絡先設定
  • 発作が頻回な方は、同行者に発作時対応を伝えておく

③ 服薬管理(極めて重要)

  • 決められた時間に確実に服薬
  • 飲み忘れは発作再発の大きな原因になります
  • 自己判断での減量・中止は絶対に避けてください
  • 新しい薬(市販薬・サプリ含む)を使う前は必ず相談

👉 MTLE-HS では
「薬が効いている状態」を安定して維持することが非常に重要です。


④ 記憶・認知面への配慮(この病気特有の注意点)

海馬は記憶に関わるため、以下のような工夫が役立ちます。

  • スマートフォン・手帳・メモの活用
  • 予定や約束は「書いて残す」
  • 重要な説明は
    • その場で復唱
    • メモを取る
  • 無理に「覚えよう」としない

👉 これは能力低下ではなく、病気の性質への合理的な対応です。


⑤ 精神・心理面への配慮

  • MTLE-HS では
    • 不安
    • 抑うつ
    • イライラ
      が合併しやすいことが知られています
  • 「性格の問題」ではありません
  • 気分の落ち込みが続く場合は、
    早めに主治医へ相談してください

⑥ 仕事・学校・運転について

● 就労・学業

  • 多くの方が通常の仕事・学業を継続可能です
  • 発作頻度・内容に応じて
    • 勤務形態
    • 業務内容
      を調整することで、長く続けやすくなります

● 自動車運転

  • 発作がある場合は
    一定期間の発作消失が必要です(法令に基づく)
  • 主治医と必ず相談してください

⑦ 外科治療を受けた後の日常生活

  • 発作が消失した場合
    • 生活制限は大きく緩和されます
    • 就労・運転再開が可能になる例も多い
  • ただし
    • 定期通院
    • 服薬継続(段階的調整)
      は必要です

まとめ(重要ポイント)

  • 睡眠・服薬・ストレス管理が最重要
  • 発作時の安全対策を生活に組み込む
  • 記憶障害には「道具で補う」発想が有効
  • 精神面の変化も病気の一部として対応する
  • 多くの方が適切な管理で安定した日常生活を送れます

<海馬硬化を伴う内側側頭葉てんかん>の最新情報

発作時VEEGが取れない場合でも、間欠期(非発作時)VEEG+臨床所見+MRI所見が一致していれば、発作消失率が発作時VEEG群と同等(約64%)になり得る(2025)

LITT(レーザー焼灼)・RFA・SRSを比較した2025年の系統的レビュー/メタ解析(2025)

タイトルとURLをコピーしました