目次
<マリネスコ・シェーグレン症候群>はどんな病気?
- 🧬 概要
- 🔍 原因
- 🧠 主な症状・臨床像
- 🧾 診断のポイント
- 🩺 治療とケア
- 🧩 予後・生活の展望
- ✅ まとめ
- 📊 頻度/有病率・保因者頻度
- ✅ 要点まとめ
- 🧬 原因の概要
- 🔍 詳細なメカニズム・関連知見
- 🧩 補足:原因が未解明の症例もある
- ✅ まとめ
- 🧬 1. 遺伝形式:常染色体劣性遺伝
- 🧫 2. 保因者(キャリア)とは?
- 🌍 3. 頻度・遺伝的背景
- 🧠 4. 遺伝子検査とカウンセリング
- 📘 まとめ
- 👶【乳児期〜幼児期】
- 🧒【学童期】
- 👦【思春期〜青年期】
- 🧑【成人期〜中年期】
- 📊【経過のまとめ】
- 💡 重要なポイント
- 🧬【1】根本治療(病因治療)
- 👁【2】白内障の治療(ほぼ全例に必要)
- 🧠【3】運動失調・筋疾患への治療
- 🩺【4】内分泌・性腺機能低下への治療
- 🧩【5】知的発達・言語・学習への支援
- 🦴【6】整形外科的治療・骨格管理
- 💊【7】その他の薬物・補助療法
- 🧠【8】心理・社会的ケア
- 🧾【9】定期フォローアップ(生涯管理)
- 🧭【10】今後の展望(2025年時点の研究)
- 📘 まとめ
- 🧘♀️ 1. 生活の基本姿勢:無理せず・継続的に「動く」
- 🍎 2. 食事と栄養管理
- 🧠 3. 発達・学習・知的支援
- 👁 4. 視力・眼のケア
- 💪 5. 筋力・姿勢・リハビリ
- 🩺 6. 内分泌(ホルモン)・成長・性発達の管理
- 🩹 7. 感染・転倒・疲労への注意
- 🧩 8. 心理・社会面のサポート
- 🧭 9. 医療・定期フォロー体制(生涯フォロー)
- 🕊 まとめ
🧬 概要
マリネスコ・シェーグレン症候群(MSS)は、非常にまれな遺伝性疾患で、生まれつきまたは幼児期から発症する複数の臓器系に影響を及ぼす症候群です。主な特徴として、
- 両側性の早期発症白内障
- 小脳失調(運動・バランスの障害)
- 進行性または慢性の筋疾患(筋力低下・筋萎縮)
- 知的発達遅延または知的障害
- 身長低め、骨格異常、性腺機能低下(高ゴナドトロピン性低ゴナドン)など
が挙げられます。 メドラインプラス+3オルファネット+3メドラインプラス+3
発症頻度は「100万人に1人未満」とされる非常にまれな疾患です。 オルファネット
🔍 原因
この症候群の多くは、以下のような遺伝的メカニズムに基づいています:
- 主な原因遺伝子として SIL1 遺伝子(5q31.2)が明らかになっています。 メドラインプラス+1
→ SIL1 遺伝子は小胞体(endoplasmic reticulum; ER)におけるタンパク質の折りたたみ補助(コシャペロン)として働くタンパク質をコードしています。 希少疾病協会+1
→ SIL1 の変異によりタンパク質の折りたたみ異常/ERストレスが引き起こされ、神経・筋・眼・骨格など複数の細胞・組織にダメージが出ると考えられています。 BioMed Central+1 - 遺伝形式としては 常染色体劣性遺伝(autosomal recessive) が一般的です。両親が保因者で、子どもが両方の変異を受け継いだ場合に発症します。 メドラインプラス
- ただし、SIL1変異が確認できない症例もあり、**遺伝子多様性(genetic heterogeneity)**があることも知られています。 BioMed Central+1
🧠 主な症状・臨床像
以下が代表的な臨床特徴です:
| 項目 | 内容 |
|---|---|
| 白内障 | 通常、幼児期(生後または数年以内)に両眼性白内障を起こします。 メドラインプラス |
| 小脳失調/運動障害 | 立つ・歩く・バランスをとるなどに障害が現れ、歩行支援が必要になることもあります。 希少疾病協会+1 |
| 筋疾患(ミオパチー) | 筋力低下・筋萎縮が徐々に進行することがあります。 brain.ucsf.edu |
| 知的発達・言語 | 軽度〜中等度の知的障害が典型ですが、知能が比較的保たれる例も報告されています。 OUP Academic |
| 身長・骨格異常 | 身長が低め、側弯・関節変形・骨年齢遅延などの骨格所見あり。 AJNR |
| 性腺機能低下 | 高ゴナドトロピン性低ゴナドン(性ホルモン産生低下)により、思春期発育遅延・無月経など。 メドラインプラス |
🧾 診断のポイント
- 臨床的には「幼児期からの白内障+小脳失調+筋疾患」の三主徴で疑われます。 希少疾病協会+1
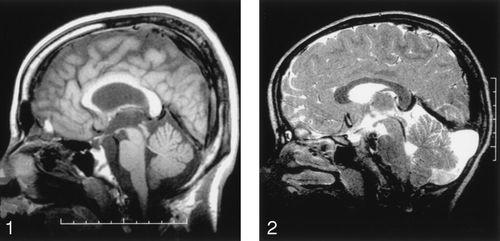
- MRIなどで小脳・特に虫部(vermis)あるいは小脳萎縮の所見を確認することがあります。 AJNR
- 筋生検・神経筋検査でミオパチー所見を確認することもあります。 brain.ucsf.edu
- 遺伝子検査でSIL1変異を調べることで確定診断となりますが、変異が見つからない場合でも臨床診断となることがあります。 OUP Academic

🩺 治療とケア
根本治療が確立しているわけではなく、対症療法・多職種による支援が中心となります。 希少疾病協会+1 主な治療・ケア内容は次の通りです:
- 白内障手術:視力低下を防ぐため、幼児期に眼科的介入が推奨されます。 ウィキペディア
- 理学療法/作業療法/言語療法:運動・筋力・言語機能を維持・改善するためのリハビリテーション。
- 骨格・整形外科的フォロー:側弯症・関節変形などへの対応。
- 内分泌治療:性腺機能低下があれば、ホルモン補充療法が検討されます。
- 遺伝カウンセリング:保因者の把握・家族計画支援。
- 学習支援・教育支援:知的発達の遅れ・言語遅延を補うための教育プログラム。

🧩 予後・生活の展望
- 多くの場合、寿命はほぼ正常範囲と報告されています。 希少疾病協会+1
- ただし、歩行困難・重度の筋力低下・視力障害・知的遅れが生活の質に影響を与えるため、早期からの介入が重要です。
- 定期的なフォローアップとケアの継続が、より良い機能維持・社会参加につながります。

✅ まとめ
マリネスコ・シェーグレン症候群(MSS)は、幼児期から見られる白内障・小脳失調・筋力低下・知的遅延・骨格・性腺機能異常を特徴とする稀な常染色体劣性疾患です。原因の多くはSIL1遺伝子変異によるもので、根本治療はまだないため、症状への支援・リハビリ・多職種フォローがカギとなります。
<マリネスコ・シェーグレン症候群>の人はどれくらい?
📊 頻度/有病率・保因者頻度
- 世界的な明確な有病率(人口あたり何人)を示すデータは 確立されていません。 希少疾病協会+2NCBI+2
- 欧州希少疾患データベース(Orphanet)では、「1 〜 9人/1,000,000人(100万人あたり1〜9人程度)」と推定されています。 オルファネット
- フィンランドでは保因者(キャリア)の頻度が 約 1:96 と報告されています。 NCBI
- 世界的な保因者頻度の推定は 約 1:700 と述べられています。 NCBI
- 日本では全国調査で、登録されていた対象が “36例” であった報告があります。 BioMed Central
✅ 要点まとめ
- 非常にまれな疾患であることは明らかです。
- 「100万人あたり数人」レベルという推定ですが、確実な発生率は未確定。
- 保因者(両親が変異を持つが発症しない者)の比率は地域により大きく異なる(例:フィンランドでは高め)。
- 日本を含む特定地域では「創始家系効果(founder effect)」の報告もあります。
<マリネスコ・シェーグレン症候群>の原因は?
🧬 原因の概要
MSSは「複数の臓器系に影響を及ぼす遺伝性の疾患」であり、主な原因として以下のようなメカニズムが明らかになっています。
主な原因遺伝子: SIL1
- 多くの症例で、SIL1遺伝子の両方のコピー(常染色体劣性遺伝形式)に病的変異があることが確認されています。 メドラインプラス+3オルファネット+3希少疾病協会+3
- SIL1遺伝子は、細胞の小胞体(endoplasmic reticulum;ER)内に存在し、タンパク質の折りたたみ・品質管理を担う コシャペロン(補助たんぱく質) の役割をします。 メドラインプラス+1
- SIL1に変異があると、ER内でのタンパク質の折りたたみがうまく行かず、誤折りたたみタンパク質の蓄積・ERストレス・細胞のダメージを引き起こすと考えられています。 メドラインプラス+1
遺伝形式
- 疾患は典型的には 常染色体劣性遺伝(autosomal recessive) で、両親が保因者(SIL1変異を1コピーずつ持つ)で、生まれた子どもが両方の変異を受け継いだ場合に発症します。 メドラインプラス+1
- ただし、全患者にSIL1変異が確認されているわけではなく、SIL1変異を認めない患者群も一定数存在しており、別の遺伝子が関与している可能性が指摘されています。 希少疾病協会+1
🔍 詳細なメカニズム・関連知見
- SIL1蛋白質が低下すると、ER内シャペロンである BiP(GRP78)との協調が乱れ、タンパク質の折りたたみ・品質管理機構が破綻します。これが特に神経細胞(小脳のプルキンエ細胞など)・筋肉細胞・水晶体(白内障)など多系統臓器に影響を及ぼすと考えられています。 PubMed+1
- 筋細胞・神経細胞では、このタンパク質折りたたみ障害が長期にわたって続くことで、筋萎縮・運動失調・白内障などの臨床像を発現します。
- また、SIL1変異のある患者で「認知発達障害がない」例も報告されており、**臨床表現型の幅(表現型変異性;phenotypic variability)**があることも示されています。 PubMed
🧩 補足:原因が未解明の症例もある
- SIL1変異が確認されていないMSS様症例では、「少なくとももう一つの遺伝子」が関与している可能性があります。 希少疾病協会
- すなわち、MSSは“遺伝子ヘテロジニティ(genetic heterogeneity)を持つ疾患群”であると考えられています。
- そのため、臨床的には“SIL1陽性型”と“SIL1陰性型(原因遺伝子未同定)”に分けて検討されることが多いです。
✅ まとめ
| 項目 | 内容 |
|---|---|
| 主な遺伝子 | SIL1遺伝子(ER内コシャペロン蛋白) |
| 遺伝形式 | 常染色体劣性が典型 |
| 発症メカニズム | タンパク質折りたたみ・品質管理の障害 → 多系統臓器障害 |
| その他 | SIL1変異を認めない例もあり、原因遺伝子がまだ明らかでないケースあり |
<マリネスコ・シェーグレン症候群>は遺伝する?
<マリネスコ・シェーグレン症候群(Marinesco-Sjögren症候群, MSS)>は遺伝します。
ただし、遺伝のしかたには明確な特徴があり、**「常染色体劣性遺伝(autosomal recessive inheritance)」**という形式で伝わることが知られています。
🧬 1. 遺伝形式:常染色体劣性遺伝
| 用語 | 内容 |
|---|---|
| 遺伝形式 | 常染色体劣性遺伝(autosomal recessive) |
| 原因遺伝子 | 多くは SIL1遺伝子変異(5q31.2) |
| 遺伝子の働き | 細胞の小胞体(ER)でタンパク質の折りたたみを助ける「コシャペロン」 |
| 異常の結果 | タンパク質の誤折りたたみ → 細胞ストレス → 神経・筋・水晶体などの障害 |
🧩 しくみの説明
- 人は同じ遺伝子を**2つ(父親と母親から1つずつ)**持っています。
- 両親が**ともに保因者(SIL1変異を1つだけ持つが症状なし)**の場合、
次の確率で子どもに遺伝します:
| 子どもの遺伝型 | 状態 | 確率 |
|---|---|---|
| 変異2つ(両親から1つずつ) | 発症(マリネスコ・シェーグレン症候群) | 25% |
| 変異1つ(片方のみ) | 保因者(症状なし) | 50% |
| 変異なし | 正常 | 25% |
➡️ つまり、両親が保因者でも4人に1人の割合で発症する可能性があります。
🧫 2. 保因者(キャリア)とは?
- 保因者(carrier)は、SIL1遺伝子変異を1つ持つが症状を示さない人のことです。
- この疾患では、保因者同士が子どもを持つ場合のみ発症リスクが生じます。
- 保因者自体は健康で、特別な症状・制限はありません。
🌍 3. 頻度・遺伝的背景
- 世界的には非常にまれで、発症頻度は100万人に1〜9人程度と推定されています。
- 保因者の割合は地域によって異なり、フィンランドなどでは創始者効果により高い(約1/96)と報告されています。
- 日本でもSIL1変異による症例が報告されていますが、非常に稀(全国で数十例規模)です。
🧠 4. 遺伝子検査とカウンセリング
- 現在は血液や唾液からSIL1遺伝子の解析を行うことで診断が可能です。
- 両親や兄弟姉妹も検査を受けることで、保因者かどうかを確認できます。
- 希少疾患であるため、検査や家族計画の相談は臨床遺伝専門医・遺伝カウンセラーによるカウンセリングが推奨されます。
📘 まとめ
| 項目 | 内容 |
|---|---|
| 遺伝形式 | 常染色体劣性遺伝 |
| 原因遺伝子 | SIL1(まれに他の遺伝子も) |
| 保因者の特徴 | 症状なし・健康体 |
| 再発リスク | 保因者同士の子で25% |
| 遺伝子検査 | SIL1変異解析で確認可能 |
| カウンセリング | 家族計画・将来リスクの相談に有効 |
💡 要点まとめ
- マリネスコ・シェーグレン症候群は遺伝しますが、両親が保因者である必要があります。
- 発症の確率は25%、保因者は50%。
- 遺伝子検査と専門カウンセリングで家族リスクを明確にできます。
<マリネスコ・シェーグレン症候群>の経過は?
<マリネスコ・シェーグレン症候群(Marinesco–Sjögren症候群, MSS)>は、出生または乳幼児期から徐々に進行する、慢性・全身性の遺伝性疾患です。
命に関わることはまれですが、運動・視力・知的発達などに影響し、生涯にわたりゆっくりと進行する経過をとります。
以下に、年齢ごとの典型的な経過をわかりやすく説明します。
👶【乳児期〜幼児期】
主な特徴
- 筋緊張低下(低緊張):赤ちゃんの体がふにゃっと柔らかく、運動発達(首すわり・寝返り・歩行)がゆっくり。
- 発達の遅れ:歩行や言葉の発達が遅く、1〜2年遅れることが多い。
- 白内障(両眼性):生後〜数年以内にほぼ必ず発症。視力低下や斜視で気づかれる。
- 食事のむせ・哺乳困難が見られることも。
医療的対応
- 早期に白内障手術を受ければ視力の保持が期待できる。
- 理学療法(PT)・作業療法(OT)を開始し、運動発達を促す。
- 小児神経科・眼科・整形外科・発達支援チームによる多職種フォローが基本。
🧒【学童期】
主な経過
- 歩行は可能になるが、歩き方が不安定(小脳性運動失調)。走ったり階段を上るのが苦手。
- 筋力低下(特に下肢・体幹)が進みやすく、転倒しやすい。
- 学習面では軽度〜中等度の知的障害や言語発達の遅れを伴うことがある。
- 一方で、感情表現が豊かで人懐っこい性格を持つ人が多い。
医療・生活面
- 理学療法・バランス訓練・姿勢矯正を継続。
- 白内障手術後も視力フォローを継続。
- 特別支援学級・支援学校での教育サポートが有効。
- 成長ホルモンや甲状腺などの内分泌機能低下があれば、ホルモン補充を行う。
👦【思春期〜青年期】
主な経過
- 筋萎縮や歩行の不安定さがゆっくり進行。多くは歩行補助具で自立歩行可能。
- **性腺機能低下(高ゴナドトロピン性低ゴナドン)**が出現しやすく、思春期の遅れ・無月経・不妊などがみられる。
- 白内障術後の視力は安定することが多い。
- 知的レベルは大きく変わらず、学習・社会活動への適応力は個人差が大きい。
ケアのポイント
- 内分泌科による定期フォロー(ホルモン検査)。
- 理学療法・歩行補助具で活動性を維持。
- 社会生活訓練・職業訓練を通じて自立支援を進める。
🧑【成人期〜中年期】
主な経過
- 小脳萎縮や筋疾患の進行により、歩行困難になる人もいますが、進行は非常に緩やかです。
- 命に関わる臓器障害(心・呼吸など)はまれ。
- 知的機能は安定しており、多くの人が家族の支援下で地域生活を送ります。
- 一部で精神的ストレス・うつ傾向を併発することがあります。
医療・生活面
- 整形外科的問題(側弯・関節拘縮)へのリハビリを継続。
- てんかんや嚥下障害を起こすことはまれですが、あれば神経科・摂食リハ対応。
- 長期的には介助・車いす生活となる例もあるが、寿命はほぼ健常人と同程度です。
📊【経過のまとめ】
| 時期 | 主な症状・課題 | 対応・支援 |
|---|---|---|
| 乳児期 | 低緊張・発達遅延・白内障 | 眼科手術・リハビリ開始 |
| 学童期 | 歩行失調・筋力低下・学習遅れ | 理学療法・特別支援教育 |
| 思春期 | 性腺機能低下・筋萎縮進行 | ホルモン治療・自立訓練 |
| 成人期 | 歩行困難・安定期 | 継続リハ・生活支援 |
| 高齢期 | ゆるやかな進行・長期安定 | 介助・心理支援 |
💡 重要なポイント
- 進行は非常に緩やかで、寿命はほぼ正常範囲。
- 早期の白内障治療と理学療法がQOLを大きく左右。
- 知的障害や運動障害の程度は人によって差があり、「軽度で普通学校に通う例」も報告されています。
- 成人後も定期的な多職種フォロー(神経・眼科・内分泌・整形)が必要。
<マリネスコ・シェーグレン症候群>の治療法は?
<マリネスコ・シェーグレン症候群(Marinesco–Sjögren症候群, MSS)>は、**先天性の遺伝性疾患(常染色体劣性)**であり、根本的に遺伝子変異を修復する治療法は現時点では存在しません(2025年現在)。
しかし、進行は緩やかで、症状ごとの対症療法とリハビリを組み合わせることで、生活の質(QOL)を大きく維持できます。
以下に、2025年の国際的な診療方針に基づいた最新の治療・ケア方法を整理します。
🧬【1】根本治療(病因治療)
| 項目 | 現状 |
|---|---|
| 遺伝子治療 | 現段階では研究段階。SIL1遺伝子変異に対しては動物実験(マウスモデル)で効果を示す報告がありますが、人での臨床試験はまだ行われていません。 |
| 分子標的療法 | ERストレス軽減薬(例:4-PBA, TUDCA)による改善を狙った前臨床研究が進行中。神経変性抑制の効果が示唆されていますが、臨床応用は未確立です。 |
| 幹細胞治療 | 将来的な選択肢として注目されていますが、実臨床ではまだ倫理審査段階です。 |
➡️ よって、現時点では「対症療法+リハビリ」が唯一の標準治療です。
👁【2】白内障の治療(ほぼ全例に必要)
- MSSのほぼ全員が幼少期〜学童期に両眼性白内障を発症します。
- **白内障手術(早期の水晶体摘出術+眼内レンズ挿入)**により、視力を維持可能です。
- 手術は多くの場合、生後数年以内に実施され、**術後の弱視訓練(ビジョンリハビリ)**も重要です。
- 再発は少なく、予後は良好です。
🧠【3】運動失調・筋疾患への治療
| 方法 | 内容 |
|---|---|
| 理学療法(PT) | バランス・歩行訓練、体幹・四肢の筋力維持。小脳失調や筋萎縮の進行を遅らせる。 |
| 作業療法(OT) | 手指の協調運動・日常動作(食事、書字、着替え)訓練。 |
| 補助具の利用 | 歩行器・杖・車いすなどを個々の進行に応じて導入。 |
| 電気刺激リハビリ | 筋活動促進・痙縮抑制に用いられる場合あり。 |
| ビタミン補助 | ビタミンE、B群など神経筋機能補助目的で使用されることも(科学的根拠は限定的)。 |
🩺【4】内分泌・性腺機能低下への治療
- MSSの多くで思春期以降に**高ゴナドトロピン性低ゴナドン症(性腺機能低下)**を合併します。
- **ホルモン補充療法(HRT)**により、骨量・性徴・内分泌バランスを維持可能。
| 性別 | 治療法 |
|---|---|
| 男性 | テストステロン補充療法(注射・ゲル製剤など) |
| 女性 | エストロゲン+プロゲステロン補充療法 |
- 併せて、骨粗しょう症予防のためのビタミンD・カルシウム投与も行われます。
🧩【5】知的発達・言語・学習への支援
| 項目 | 内容 |
|---|---|
| 知的障害 | 多くは軽度〜中等度。個別支援教育・特別支援学校で学習可能。 |
| 言語発達遅延 | 言語聴覚療法(ST)による早期介入が有効。 |
| 学習支援 | タブレット・ICTを活用した学習補助。 |
| 社会性支援 | 就労支援・地域生活支援センターとの連携。 |
🦴【6】整形外科的治療・骨格管理
- MSSでは、側弯症・関節拘縮・骨年齢遅延などの整形的問題を伴うことがあります。
- 装具治療や外科矯正術で姿勢保持や疼痛を改善。
- 成長ホルモン分泌低下がある場合はホルモン補充療法も検討されます。
💊【7】その他の薬物・補助療法
| 症状 | 治療法 |
|---|---|
| 筋緊張低下 | リハビリ主体。薬物療法の明確な効果は不明。 |
| 振戦・協調運動障害 | β遮断薬(プロプラノロール)などが症状軽減に使われることもある。 |
| けいれん発作(まれ) | 抗てんかん薬(バルプロ酸など)でコントロール。 |
| うつ・不安 | SSRIなどの抗うつ薬+心理的サポート。 |
🧠【8】心理・社会的ケア
- MSSは進行が遅く、寿命は正常範囲のため、成人後の社会生活サポートが重要です。
- 精神的ストレス・自尊心低下を防ぐため、
- 心理士・カウンセラーによる定期面談
- 家族会やピアサポートへの参加
が有効です。
🧾【9】定期フォローアップ(生涯管理)
| 項目 | 推奨頻度 | 内容 |
|---|---|---|
| 眼科 | 年1回以上 | 白内障術後の視力・網膜・眼圧チェック |
| 神経・筋 | 6〜12か月ごと | 筋力・歩行・小脳萎縮の評価 |
| 内分泌 | 年1回 | 性ホルモン・甲状腺・成長ホルモン・骨密度 |
| 整形外科 | 必要時 | 側弯・拘縮の進行度確認 |
| 精神科・心理 | 必要時 | 発達・社会適応サポート |
🧭【10】今後の展望(2025年時点の研究)
- **SIL1遺伝子補充療法(遺伝子導入型AAVベクター)**が動物モデルで有望とされ、
神経変性・白内障進行を抑える効果を確認(2024–2025年報告)。 - **小胞体ストレス軽減薬(TUDCA, 4-PBA)**の臨床試験準備中(欧州にて2025年開始予定)。
- 今後5〜10年で「根治的分子治療」が登場する可能性が高まっています。
📘 まとめ
| 分類 | 内容 |
|---|---|
| 根本治療 | まだ存在しない(遺伝子治療は研究段階) |
| 主な治療 | 白内障手術・リハビリ・ホルモン補充・理学療法 |
| 対症療法 | 各臓器の症状に応じた多職種管理 |
| 進行 | 非常に緩やか。寿命は正常範囲 |
| 管理目標 | 自立・社会参加・QOL維持 |
💡 ポイント
「マリネスコ・シェーグレン症候群」は治す病気ではなく、“一生つきあいながらコントロールする病気”。
早期の白内障手術、リハビリ、ホルモン治療、心理支援を組み合わせることで、
学校生活・社会生活を安定して送ることが可能です。
<マリネスコ・シェーグレン症候群マリネスコ・シェーグレン症候群>の日常生活の注意点
<マリネスコ・シェーグレン症候群(Marinesco–Sjögren症候群, MSS)>は、一生を通じてゆっくり進行する遺伝性疾患であり、命に関わることはほとんどありませんが、
「視力」「運動能力」「筋力」「発達」「ホルモンバランス」などに複数の影響を及ぼします。
そのため、生活の中で“無理をしない工夫”と“リハビリを続けること”が大切です。
以下に、年齢を問わず役立つ【日常生活の注意点】を分野ごとにまとめました。
🧘♀️ 1. 生活の基本姿勢:無理せず・継続的に「動く」
- 小脳失調や筋力低下が進行するため、動かない時間が長いと症状が悪化しやすいです。
- 一方で、過度な運動(ジャンプや転倒の危険がある動き)は避けましょう。
✅ おすすめの活動
| 分類 | 内容 |
|---|---|
| 軽い運動 | 散歩・水中ウォーキング・ストレッチ・ヨガ(バランス訓練) |
| 日常動作 | 立つ・座る・手を使う動きを意識的に取り入れる |
| 禁忌 | 急激な運動・転倒リスクの高い運動(縄跳び・階段昇降) |
💡 ポイント:理学療法士が作成する「個別運動プログラム」を継続することが、進行予防の最良策です。
🍎 2. 食事と栄養管理
MSSでは筋肉・神経・ホルモン系の負担を減らすため、バランス重視の食生活が重要です。
✅ 食事のコツ
| 分野 | 内容 |
|---|---|
| タンパク質 | 筋肉維持のため、肉・魚・豆類を意識して摂取 |
| ビタミン・ミネラル | 骨・神経の健康維持(特にカルシウム・ビタミンD・B群) |
| 水分 | 便秘・脱水を防ぐために1.5〜2L/日が目安 |
| 食事形態 | 嚥下(飲み込み)が苦手な場合は柔らかめの食事やとろみを活用 |
| 禁忌 | 高脂肪・高糖質・炭酸飲料などは避ける(代謝負担増加) |
🧠 3. 発達・学習・知的支援
- 多くの方が軽度〜中等度の知的発達遅延を伴いますが、個性に合わせた教育で学習は十分可能です。
- 早期からの**特別支援教育・言語療法(ST)**が有効です。
✅ 家庭でできる工夫
- 視覚教材(図・写真)を多く使う
- ルーティン(毎日同じ流れ)を決めて安心感を与える
- 小さな成功体験を積み重ねて自尊心を育てる
💡 周囲が「できないこと」ではなく「得意なこと」に焦点を当てると、本人のモチベーションが上がります。
👁 4. 視力・眼のケア
- 幼児期に発症する白内障は手術で改善しますが、術後も定期フォローが必要です。
✅ 日常での注意
| 状況 | 対策 |
|---|---|
| まぶしさ・視力低下 | サングラスや遮光レンズを使用 |
| 視力差が大きい | 弱視訓練や眼鏡装用 |
| 定期検診 | 半年〜1年に1回、眼科で視力・眼圧・網膜チェック |
💪 5. 筋力・姿勢・リハビリ
- MSSでは筋力低下・小脳失調が主症状のため、「体幹・下肢の筋肉を維持すること」が最も大切です。
✅ 理学療法(PT)
- バランスボールやゴムバンドを使った軽運動
- 立位保持・歩行訓練・関節可動域運動
✅ 作業療法(OT)
- 手指の巧緻動作(書く・ボタンを留める・箸を使う)を訓練
- 自助具(グリップ付カトラリーなど)の活用
💡 長時間同じ姿勢を続けると筋硬直・拘縮が起こりやすいため、30〜60分ごとに姿勢を変える習慣を。
🩺 6. 内分泌(ホルモン)・成長・性発達の管理
- 多くの方で**性腺機能低下(高ゴナドトロピン性低ゴナドン症)**を伴うため、思春期が遅れる傾向があります。
- 内分泌内科での定期フォローが不可欠です。
| 項目 | 対策 |
|---|---|
| 思春期遅延・無月経 | ホルモン補充療法(HRT)で正常発育をサポート |
| 骨密度低下 | ビタミンD・カルシウム補給、日光浴 |
| 身長発育遅延 | 成長ホルモン分泌不全があれば補充療法 |
🩹 7. 感染・転倒・疲労への注意
| 状況 | 注意点 |
|---|---|
| 感染 | 筋力低下時は免疫も落ちやすい。手洗い・ワクチン接種を徹底。 |
| 転倒 | 段差・カーペット・濡れ床などを避け、滑り止め靴を使用。 |
| 疲労 | 体力の消耗が遅く回復が遅いため、「疲れる前に休む」が基本。 |
| 睡眠 | 自律神経バランス維持のため、7〜8時間の睡眠を確保。 |
🧩 8. 心理・社会面のサポート
- MSSは見た目では分かりにくいため、本人が「できないこと」に罪悪感を持ちやすいです。
- カウンセリング・ピアサポート・家族会への参加が有効。
💡 周囲が「時間をかけてもできたこと」をしっかり評価し、
焦らず長期的な視点で成長を見守る姿勢が大切です。
🧭 9. 医療・定期フォロー体制(生涯フォロー)
| 科 | フォロー内容 | 頻度目安 |
|---|---|---|
| 眼科 | 白内障術後・視力検査 | 年1回以上 |
| 小児神経/神経内科 | 筋力・歩行・MRIフォロー | 年1回 |
| 整形外科 | 側弯・拘縮・装具管理 | 必要時 |
| 内分泌科 | ホルモン・骨密度 | 年1回 |
| リハビリ科 | PT・OT・ST 継続 | 月1〜2回 |
| 心理/精神科 | 適応支援・カウンセリング | 必要時 |
🕊 まとめ
| 分野 | 主な注意点 |
|---|---|
| 運動 | 無理せず継続。転倒防止と筋力維持を両立。 |
| 食事 | タンパク質・ビタミンD・水分を意識。嚥下に注意。 |
| 視力 | 白内障術後フォローを欠かさない。 |
| 発達 | 支援教育+リハビリで社会性を伸ばす。 |
| ホルモン | 内分泌科で定期チェック。HRT検討。 |
| 精神面 | 焦らず「できること」を積み重ねる。 |
| 医療 | 多職種フォローが一生の支えになる。 |
💡 一言でまとめると:
「ゆっくり進行するけれど、きちんと支援すれば長く穏やかに生活できる病気」です。
日常では“疲れをためず・無理をせず・こまめに体を動かす”ことが最も大切です。

