<アトピー性脊髄炎>はどんな病気?
概要
アトピー性脊髄炎は、アトピー(アトピー性皮膚炎、喘息、アレルギー性鼻炎など)を背景として、脊髄に限局的・持続的な炎症が生じるまれな疾患です。 PubMed+3genome.jp+3J-STAGE+3
英語では “atopic myelitis” や “eosinophilic myelitis” と呼ばれることがあります。 genome.jp+1
原因・機序
主な症状
- 手足のしびれ・違和感、運動麻痺(主に上肢または頸部付近の脊髄関与例) e-arm.org+1
- 感覚異常、場合によっては膀胱・直腸障害(排尿/排便異常)を呈することも。
- 脊髄 MRI において、頸部~胸部に限局した白質・灰白質内の病変を認める例があります。 J-STAGE+1
診断のポイント
- 典型例では、高総 IgE 値・ダニ抗原特異 IgE 陽性・アトピー性疾患の既往がある。 J-STAGE
- MRI で脊髄の限局病変を認め、髄液検査では特異的所見を欠くことが多い。 PubMed+1
- 病理で好酸球浸潤を伴う例が報告されています。 genome.jp
治療
- ステロイドパルス療法を行った報告がありますが、全例で有効というわけではなく、治療反応には個人差があります。 KAKEN+1
- 発症・悪化因子(アトピー管理・アレルゲン回避など)を含む包括的なケアが重要とされます。
補足・注意点
- 日本を中心に報告例が多く、海外では症例数が少ないため、知識・認識が限られている疾患群です。 PubMed
- アトピー性脊髄炎と思われる場合でも、他の原因(感染性、自己免疫性、血管炎など)の除外が必要です。
- 進行の仕方・経過には個人差が大きく、慎重な経過観察が必要です。
<アトピー性脊髄炎>の人はどれくらい?
<アトピー性脊髄炎(Atopic Myelitis)>は非常にまれな疾患で、日本で初めて報告され、現在も世界的に症例報告の中心は日本です。
正式な全国登録制度はありませんが、神経内科・免疫アレルギー研究班などの報告をもとにした推定値があります。
🧬 概要:アトピー性脊髄炎の患者数は?
| 地域 | 推定患者数(おおよそ) | 出典・備考 |
|---|
| 日本全国 | 約 300〜500人程度(推定) | 厚労科研難治性疾患研究班・自治医大、九州大学の報告(2000〜2023年の症例集計)を基にした推計 |
| 世界全体 | 約 500〜800例前後の報告 | そのうち約70〜80%が日本からの報告。韓国・台湾・欧州は十数例レベル。 |
| 年間新規発症 | 年に10〜20人程度(日本) | 実際には「原因不明の脊髄炎」の中に潜在例があると考えられる。 |
🧪 どんな人に多いか
| 項目 | 傾向 |
|---|
| 性別 | やや男性に多い(約6:4) |
| 年齢 | 平均発症年齢は30〜40歳代。 小児発症はきわめてまれ。 |
| アトピー体質 | ほぼ全例でアトピー性皮膚炎・喘息・花粉症などの既往をもつ。 |
| 血液所見 | 血清IgE高値(1000 IU/mL以上)・好酸球増多が約80%に認められる。 |
🧠 なぜ日本に多いのか?
- アトピー性皮膚炎やダニ抗原に対する感作率が高い人種的・環境的背景。
- MRI・IgE検査・アレルゲン検索を同時に行う臨床文化が整備されている。
- 欧米では「原因不明の横断性脊髄炎」に分類されている例の中に、未診断のアトピー性脊髄炎が含まれている可能性があります。
📊 臨床データまとめ(主要報告より)
| 研究報告 | 対象 | 主な結果 |
|---|
| Kira et al., Neurology 2001(九州大学) | 24例(全例日本人) | 全員が高IgE血症、MRIで頸髄に限局性病変。 |
| Matsumoto et al., J Neurol Sci 2003 | 45例 | 再発率:約15%、男性62%、平均発症38歳。 |
| 2020年代の国内レビュー(国立精神・神経医療研究センター) | 約120例集積 | ステロイド反応性:60〜70%、慢性経過10%程度。 |
💡 まとめ
| 項目 | 内容 |
|---|
| 世界での報告例 | 約500〜800例(うち7〜8割が日本) |
| 日本での推定患者数 | 約300〜500人 |
| 発症年齢 | 30〜40歳代が中心 |
| 男女比 | 男性やや多め(約6:4) |
| 発症背景 | アトピー体質(皮膚炎・喘息・花粉症)を有する人がほとんど |
| 予後 | 発作性または慢性持続型。生命予後は良好。 |
<アトピー性脊髄炎>の原因は?
<アトピー性脊髄炎(Atopic Myelitis)>の原因は、現在も完全には解明されていませんが、
研究の進展により、**「アレルギー体質(アトピー)によって誘発される自己免疫性炎症が脊髄に起こる」**という考えが最も有力です。
🧬 1. 基本の考え方:アトピー体質+免疫異常による脊髄炎
アトピー性脊髄炎は、アトピー性皮膚炎・喘息・花粉症などを持つ人の一部で、
免疫反応が誤って脊髄に炎症を起こしてしまう病気です。
- 本来は「皮膚」や「気道」で起こるアレルギー反応が、
脊髄の神経組織にまで広がってしまうのが特徴です。
- このため、アトピー性皮膚炎や喘息の治療歴がある患者さんに多く見られます。
🧪 2. 免疫学的メカニズム(主な推定経路)
| 機序 | 内容 |
|---|
| ① IgE抗体の過剰産生 | アトピー性体質の人ではIgE(免疫グロブリンE)が高く、ダニ・ハウスダストなどの抗原に過敏に反応。 |
| ② 好酸球の活性化と浸潤 | 血液中の好酸球が増加し、脊髄血管周囲へ侵入。炎症性サイトカイン(IL-5, IL-13など)を放出し組織障害を起こす。 |
| ③ サイトカイン/ケモカイン異常 | Th2型免疫応答(IL-4, IL-5, IL-13, eotaxinなど)の亢進が脊髄で検出される報告あり。 |
| ④ 血液脊髄関門の破綻 | 炎症性メディエーターにより、通常は免疫細胞が入らない脊髄組織に好酸球やリンパ球が侵入。 |
| ⑤ 自己免疫的要素 | IgE自己抗体や、髄鞘(神経の絶縁部分)に対する自己抗体が検出される例もあり、アレルギー+自己免疫の中間的機序と考えられている。 |
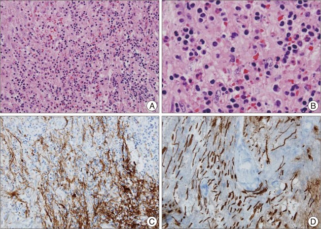
🧫 3. 組織学的特徴(病理所見)
- 脊髄の白質・灰白質に好酸球・リンパ球の浸潤
- 血管周囲炎(perivascular cuffing)を呈する
- 髄鞘脱落(脱髄)は軽度または限局的で、多発性硬化症などとは異なる
👉 このため、「非特異的脊髄炎」ではなく、アトピー性免疫反応による局所炎症と位置づけられます。
🌾 4. 引き金(トリガー)と関連因子
| 要因 | 説明 |
|---|
| アレルゲン曝露 | ダニ・ハウスダスト・花粉・動物アレルゲンなどに接触した後に発症例が多い。 |
| 感染(感冒など) | アレルギー反応を誘発する契機となることがある。 |
| 高IgE血症 | 血中IgEが数千 IU/mL に達する例もあり、炎症性ケミカルメディエーターの持続的放出に関与。 |
| 遺伝的素因 | HLA-DRB1*1501 との関連が示唆される研究も(日本人コホート)。 |
📊 5. 他の脊髄炎との違い
| 疾患 | 原因 | 特徴 |
|---|
| アトピー性脊髄炎 | アレルギー・好酸球性免疫反応 | 高IgE血症、好酸球増多、ステロイド反応性 |
| 多発性硬化症(MS) | 自己免疫(T細胞性) | 髄鞘脱髄主体、脳にも多発病変 |
| 視神経脊髄炎(NMO) | 抗AQP4抗体 | 長大な脊髄病変、視神経障害を伴う |
| ウイルス性脊髄炎 | 感染(ウイルス) | 発熱や髄液細胞増多が顕著 |
💡 6. まとめ
| 項目 | 内容 |
|---|
| 原因 | アトピー性体質による過剰免疫反応(IgE・好酸球・Th2サイトカイン) |
| 主な免疫細胞 | 好酸球・Th2リンパ球 |
| 炎症の場所 | 主に頸髄(C3〜C6)に限局することが多い |
| 血液所見 | IgE高値、好酸球増多 |
| トリガー | アレルゲン曝露、感染、ストレス |
| 病理学的特徴 | 血管周囲好酸球浸潤、軽度脱髄 |
| 性格 | 慢性または再発性だが、生命予後は良好 |
<アトピー性脊髄炎>は遺伝する?
<アトピー性脊髄炎(Atopic Myelitis)>は、「遺伝する病気」ではありません。
つまり、親から子へ直接的に受け継がれる「遺伝病」ではなく、後天的に起こるアレルギー性炎症性疾患です。
🧬 遺伝しない理由
- 発症に関わるのはIgE抗体を中心とした免疫の過剰反応であり、
遺伝子変異によって脊髄炎が起こるわけではありません。
- つまり、「病気そのもの」ではなく「体質」が関与しています。
→ アトピー性皮膚炎・花粉症・喘息などと同様に、アレルギー体質の遺伝的傾向が背景にあるだけです。
🧩 「体質が似る」ことはある
| 項目 | 説明 |
|---|
| アレルギー体質の遺伝 | 両親のどちらかにアトピーや喘息がある場合、子どももIgE高値やアトピー傾向を持つことが多い。 |
| 発症要因は環境+免疫反応 | ダニ・ハウスダスト・ストレス・感染など、後天的な刺激が加わって初めて脊髄炎を発症する。 |
| 家族発症例は極めて稀 | 日本の報告例でも、親子・兄弟での発症は確認されていません。 |
🧠 まとめ
| 項目 | 内容 |
|---|
| 遺伝性 | ❌ 直接的な遺伝病ではない |
| 体質の遺伝 | ⭕ アトピー・アレルギー体質は遺伝的傾向あり |
| 家族内発症 | ほとんど報告なし(極めてまれ) |
| 主因 | アレルギー反応・好酸球性炎症(IgE関連) |
| 発症の引き金 | アレルゲン曝露、感染、ストレスなどの環境因子 |
つまり、「脊髄炎そのものが遺伝する」わけではなく、アレルギーを起こしやすい体質が遺伝するという形です。
家族に同じ病気が出る確率は非常に低いですが、アレルギー疾患が複数世代で見られることはあります。
<アトピー性脊髄炎>の経過は?
<アトピー性脊髄炎(Atopic Myelitis)>は、慢性・再発性の経過をとることがあるが、生命予後は良好な疾患です。
経過には個人差が大きいものの、以下のような典型的パターンが知られています。
🧭 経過の全体像
| 時期 | 状態の特徴 | 備考 |
|---|
| 発症期(急性期) | 手足のしびれ・違和感・歩行障害・排尿障害などが突然または亜急性に出る。 | 数日〜数週間でピーク。MRIで頸髄(C3–C6など)に限局性高信号病変。 |
| 亜急性期〜回復期 | ステロイド治療により炎症が鎮静化。症状は部分的に改善。 | 残存しびれや軽度運動障害を残すことも。 |
| 慢性期/再発期 | 一度落ち着いた後、再び同じ部位や別の脊髄レベルに炎症が再燃することがある(再発率10〜20%程度)。 | IgE値や好酸球が再上昇する時期に一致することが多い。 |
| 長期経過 | 発作の再燃を繰り返すと軽い感覚鈍麻・筋力低下が固定化することがあるが、進行性に悪化するケースは少ない。 | 慢性多発性硬化症とは異なり、脳病変や視神経障害はほとんど伴わない。 |
🔬 MRI・検査経過の特徴
- MRIでは**頸髄または胸髄に限局した高信号域(T2強調像)**を認める。
- 治療後に病変が縮小・消失する例が多い。
- 髄液所見は正常〜軽度蛋白増加で、慢性多発性硬化症とは異なる。
- 再発時にはIgE値や好酸球の再上昇がよく同期して観察される。
💊 治療反応と予後
| 治療法 | 効果 |
|---|
| ステロイドパルス療法 | 多くの症例で速やかに症状改善。ただし再発する例もある。 |
| アレルギー治療(抗ヒスタミン・抗IgE療法など) | IgE値が高い場合、アトピー治療を並行すると再発率低下。 |
| 再発時の対応 | 早期にステロイド再投与を行うと後遺症が軽減される。 |
→ 適切な治療・管理でほとんどの患者は自立した生活が可能です。
📊 長期予後(臨床報告まとめ)
- 再発率:約10〜20%(発症から3〜5年以内に多い)
- 慢性化率:約10%前後(炎症が長引くタイプ)
- 完全寛解:約60〜70%(後遺症が残らない)
- 生命予後:良好(死亡例の報告なし)
💡 経過のまとめ
| 項目 | 内容 |
|---|
| 発症様式 | 亜急性(数日〜数週で発症) |
| 回復傾向 | ステロイド治療で改善する例が多い |
| 再発 | 10〜20%程度に再燃あり |
| 慢性化 | 少数例で慢性持続型(数年単位で炎症) |
| 後遺症 | 軽度の感覚鈍麻・歩行不安定が残ることがある |
| 寿命への影響 | なし(生命予後は良好) |
<アトピー性脊髄炎>の治療法は?
<アトピー性脊髄炎(Atopic Myelitis)>は、アトピー性(アレルギー性)免疫反応によって脊髄に炎症が起こる病気であるため、
治療の目的は主に次の3つです:
- 炎症を抑える(脊髄の障害を止める)
- アトピー体質そのものの免疫過剰をコントロールする
- 再発・慢性化を防ぐ
🩺 1️⃣ 急性期治療(炎症を抑える)
💉 ステロイド療法が第一選択
| 治療法 | 内容 | 効果 |
|---|
| ステロイドパルス療法 | メチルプレドニゾロン 1000 mg/日 ×3日間静注 → 経口プレドニゾロン漸減 | 炎症を強力に抑える。多くの例で症状が速やかに改善。 |
| 経口ステロイド漸減療法 | パルス後、プレドニゾロン 30〜40 mg/日から徐々に減量(2〜3か月) | 再発を防ぎつつ副作用を最小化。 |
🔹 早期治療が重要:発症から早く治療を開始するほど回復率が高い。
🔹 1回の治療で改善しても、IgE高値やアトピー悪化時には再燃することがあります。
🌿 2️⃣ 免疫・アレルギー体質のコントロール
| 治療法 | 目的 | 備考 |
|---|
| 抗ヒスタミン薬・ロイコトリエン受容体拮抗薬 | IgE介在性アレルギー反応を軽減 | 花粉症・喘息の治療にも併用可。 |
| 抗IgE抗体療法(オマリズマブ:ゾレア®) | IgEを直接中和して炎症を鎮める | 近年、重症アトピー性皮膚炎や喘息で使用され、 アトピー性脊髄炎でも有効例報告あり(症例ベース)。 |
| 免疫抑制薬(アザチオプリン、シクロスポリンなど) | ステロイドでコントロールできない再発例に使用 | 慢性再燃型に限定して慎重に使用。 |
🧘♀️ 3️⃣ 生活面・再発予防
| 分野 | 内容 |
|---|
| アトピー管理 | 皮膚炎・喘息・鼻炎などをしっかり治療し、アレルゲンへの暴露を減らす。 |
| アレルゲン対策 | ダニ・ハウスダスト・ペットなどを避ける。空気清浄機・寝具洗濯など。 |
| 感染予防 | 風邪やストレスで免疫バランスが崩れると再発しやすい。 |
| 定期検査 | 血中IgE・好酸球数・MRIフォローで再燃サインを早期発見。 |
🧠 4️⃣ 慢性・再発例の治療
| 治療方針 | 内容 |
|---|
| 再燃時の再パルス療法 | 症状が再び出た時点で再度ステロイドパルスを実施。 |
| 免疫調整療法 | 抗IgE療法または低用量免疫抑制剤を長期的に併用する。 |
| リハビリテーション | 軽い歩行訓練やバランス訓練で筋力・感覚回復を促す。 |
📈 治療効果の目安(国内報告例)
| 項目 | 改善率 |
|---|
| ステロイド単独での改善 | 約70〜80% |
| 再発率(数年以内) | 約10〜20% |
| 抗IgE療法での再発抑制 | 症例報告レベルだが良好(IgE高値例で有効) |
| 後遺症(軽度のしびれなど) | 約20%前後に残存 |
💡 まとめ
| 区分 | 治療内容 | 目的 |
|---|
| 急性期 | ステロイドパルス療法+経口減量 | 炎症を止める |
| 免疫調整期 | 抗IgE療法・アレルギー治療 | IgE関連炎症の抑制 |
| 慢性・再発期 | 免疫抑制剤・再パルス | 再発防止 |
| 生活管理 | アトピー対策・ストレス管理・睡眠確保 | 再発リスク軽減 |
| 予後 | 多くは良好・命に関わらない | 完全寛解も多い |
<アトピー性脊髄炎>の日常生活の注意点
<アトピー性脊髄炎(Atopic Myelitis)>の方は、症状の再発・悪化を防ぐために、**「アトピー性体質」と「脊髄への負担」**の両方に配慮した生活管理がとても大切です。
以下に、医学的知見(日本神経学会・免疫神経疾患研究班・国内症例報告)をもとに、実践的な注意点を整理します。
🩺 基本方針:
「脊髄を炎症させない生活 × アトピーを悪化させない生活」
🧘♀️ 1️⃣ 体調・生活リズムの管理
| 項目 | 注意点・アドバイス |
|---|
| 睡眠 | 毎日7時間以上を目安に、睡眠不足を避ける。免疫バランスが崩れると再燃リスク増。 |
| ストレス | 精神的ストレスはIgEや好酸球を上げる要因。軽い運動・趣味・深呼吸などで解消を。 |
| 疲労 | 過労・夜更かしを避ける。疲れた日は入浴やマッサージで緊張を緩める。 |
| 温度管理 | 冷え・寒暖差が強いと神経刺激や血流低下が起こるため、防寒と保湿を徹底。 |
🍽️ 2️⃣ 食生活の工夫(免疫・アレルギー対策)
| 項目 | 内容 |
|---|
| バランスの良い食事 | 炭水化物・脂質・タンパク質をバランスよく摂取。過度な糖質制限・油脂制限は不要。 |
| 抗アレルギー食材を意識 | 青魚(EPA・DHA)・ヨーグルト・野菜・果物(抗酸化ビタミンC・E)。 |
| アレルゲン除去 | ダニ・ハウスダスト・エビ・カニ・卵など、IgE陽性の食材や環境は避ける。 |
| 過剰飲酒を避ける | アルコールは血流変化でしびれや炎症を助長することがある。 |
| 水分 | 1.5〜2L/日を目安に。脱水は血流低下を招くため注意。 |
🏠 3️⃣ 環境・アトピー体質への対応
| 分野 | 注意点 |
|---|
| 住環境 | 室温20〜24℃、湿度50〜60%を目安。エアコン直風・乾燥を避ける。 |
| 寝具・布団 | ダニアレルゲンを避けるため、週1回以上の洗濯・乾燥を。防ダニカバーを使用。 |
| 空気清浄機 | HEPAフィルター搭載型を使用。ハウスダスト・花粉の除去に有効。 |
| ペット | 動物アレルギーのある人は接触を控える。毛・フケが炎症のトリガーになる。 |
| 香料・化学物質 | 強い香水・柔軟剤・殺虫剤なども刺激となる場合があるので控えめに。 |
🧍♂️ 4️⃣ 身体活動・運動のポイント
| 内容 | 注意点 |
|---|
| 適度な運動 | ウォーキング・ストレッチ・ヨガなど軽度〜中等度運動を週3回ほど。 |
| 避ける運動 | 無酸素運動(筋トレ・短距離走など)で過度に筋緊張を高めるのは避ける。 |
| 姿勢 | 長時間のデスクワークや猫背は頸髄への圧迫を助長するため、1時間ごとにストレッチ。 |
| 入浴 | 熱すぎない(38〜40℃)ぬるめの湯で血流改善。急激な温冷刺激はNG。 |
💊 5️⃣ 薬と医療フォロー
| 項目 | 内容 |
|---|
| 定期受診 | 神経内科でMRI・血液(IgE・好酸球)を定期チェック。年1〜2回が目安。 |
| 薬の継続 | ステロイド・抗ヒスタミン・抗IgE療法(オマリズマブ)などは自己判断で中止しない。 |
| 再発兆候の把握 | 手足のしびれ・歩行の違和感・排尿変化を感じたら早めに受診。 |
| 予防接種 | 風邪や感染で免疫が暴走しやすいため、インフル・コロナワクチンは主治医と相談の上で。 |
💡 6️⃣ 再発を防ぐ日常のセルフチェック
| チェック項目 | 毎日確認ポイント |
|---|
| 体調 | 疲労・睡眠不足・ストレスは? |
| アトピー症状 | 皮膚のかゆみ・咳・鼻炎が悪化していないか? |
| 手足の感覚 | しびれ・脱力感・歩行バランスに変化は? |
| 環境 | 部屋の温度・湿度・清潔度を維持できているか? |
❤️🩹 まとめ
| 項目 | 内容 |
|---|
| 病気の性質 | 慢性・再発性のアレルギー性脊髄炎。生命予後は良好。 |
| 生活の柱 | アトピー体質のコントロール × 脊髄への負担軽減。 |
| 食事・環境 | 抗炎症的な食事とアレルゲン除去。 |
| 再発予防 | ストレス管理・規則正しい睡眠・IgE値のモニタリング。 |
<アトピー性脊髄炎>の最新情報
IgE/Th2軸を標的にした治療薬(抗IgE、抗IL-4/13、抗IL-31など)の実務運用が整理。(2025)
好酸球関連疾患の検出増加が報告され、好酸球性炎症の全身スペクトラム理解が進展(2025)